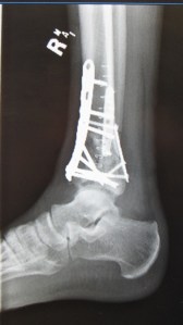
Ding-dong, the witch is dead, the ExternalFixatorNastyMedievalTortureDevice is off my leg, off my leg, off my leg. No longer am I the dog with the lampshade over his head, bumping into things everywhere I go. I’m in a cast, more mobile, and the hardware store that is my lower right leg contains three plates and twenty screws (though I count fewer on the films). Now, I must wait. Wait for the bone to re-grow, and wait for it to fill-in the areas where it went ashes to ashes, dust to dust.
It’s weird, in that my un-trained eye has seen far more gruesome-looking X-rays. But I guess the consistently grim words I hear about mine relate to the location and complexity of the fracture, not necessarily the big-looking damage. Things like the joint surface being destroyed, and that powder-back-to-bone stuff.
“I’m not going to lie,” Melinda, Dr. Desai’s excellent and normally cheerful P.A. told me at my post-op appointment Friday, her voice turning somber. “You’ve suffered a devastating injury.” She explained what they found while doing this third, and hopefully final, surgery – things like a bone “nugget” from the distal end of my tibia that had rammed several inches upward into the solid bone. They fished it
out and re-placed it. The anterior tibia had this bone plate of sorts, visible in an image I posted after the last surgery update, that had split down the middle and crumpled inward, each half partially overlapping the other. But overall the surgery went well, and they put the big pieces back together like a jigsaw puzzle, and the dust particles should eventually calcify into real bone. And, critically, they made the joint surface as smooth as possible.
“A complete recovery to your previous level would be a champion event,” Melinda continued. I know they give you the most conservative outlook, and I’m trying not to over-think it. I sense that I might be coming down off some weird initial high, as the short-term events (surgery, removal of the X-fix, etc.) pass and the epic grind ahead becomes my immediate reality.
I should be allowed to walk in three months. PT and stationary bike before then – can’t wait. Bone growth takes time. I understand, and I will stay strong. Melinda optimistically says we should shoot for me to do some hiking by mid-summer, and some easy climbs by fall. Jesus (you said it, man). Of course I expect to progress much faster – as if I can control how fast my bones re-grow – and at some point I’ll explain to her how things like overhanging top-roping in the gym actually present very little risk to my leg. But that can wait.
Right now, I’ve got a month in a cast, but I can do push-ups (with only my good leg touching), hangboard (spotted or close to the ground), and activities designed to eliminate fall risk and put zero pressure on my leg.
They released me after surgery Wednesday night, I loaded-up on drugs, struggled like hell with pain Thursday morning but made it through, spent all day on the couch, watching TV, drifting in and out of consciousness, allowing myself to do absolutely nothing. I suppose it’s OK on occasion. But enough of that – a guy like me can’t afford much more brain rot. And it’s not just brain rot, but there’s a mentality that I find important, one of symbolic little victories along the way that help keep the all-important edge, things like I talked about with getting off the painkillers as soon as possible; things like finishing strong on hard training sessions; like insisting on walking the final few feet to the truck in Hyalite one month ago today, rather than being carried. Things like taking my rock rings to the workout room at Jenna’s apartment complex Friday evening – while carefully protecting my leg – and doing just a little, but, dammit, doing something.



